Singapodent
Singapodent
Đăng nhập
Đăng ký
Singapodent
Đăng nhập
Đăng ký
Singapodent
0
  • Trang chủ
  • Giới thiệu
  • Nhà cung cấp
    • JISCOP
    • RELIANCE
    • CnM MYUNGSUNG
    • DTC
    • TRISTAR
    • STERLING
    • MATT Orthodontics (USA)
    • GRAPHY
    • PHROZEN
    • TAGLUS
    • WBT
  • Sản phẩm
    • Vật liệu chỉnh nha Singapodent
      • Dây cung
      • Dụng cụ mài kẽ
      • Mắc cài
      • Hook
      • Kềm chỉnh nha
      • Lò xo - Torque
      • Nút dán - Nút chặn
      • Thun - Chỉ thép
      • Gương - Banh miệng
      • Ốc - Vis
      • Vật liệu gắn mắc cài
      • Vật liệu chỉnh nha khác
    • Vật liệu tổng quát
    • Thiết bị Y tế
    • Thiết bị in 3D Singapodent
      • Máy in - Mực in
      • Máy rửa - Máy sấy
      • Máng chỉnh nha & Máy ép máng
      • Linh kiện thay thế
    • Thiết bị Laser Singapodent
      • Máy Laser
  • Dịch vụ
    • Sách và Tạp chí chỉnh nha Singapodent
      • Bản Tiếng Anh
      • Bản dịch Tiếng Việt
      • Cẩm nang CSSK răng miệng
      • Tạp chí chỉnh nha AJODO
      • Sách Tiếng Anh Giao Tiếp Trong Phòng Nha
    • Lab Singapodent Singapodent
      • Làm khay duy trì sau chỉnh nha
      • Nong rộng xương bằng MARPE
      • Gắn mắc cài gián tiếp
      • Thiết kế & In 3D file răng ngầm từ phim CBCT
    • Webinar chỉnh nha
    • Đào Tạo Chỉnh Nha Singapodent
      • 2026
      • 2025
  • Khuyến mãi
    • Sản phẩm khuyến mãi
    • Chương trình khuyến mãi
  • Blog Nha Khoa
    • Nghiên Cứu Khoa Học - BS. Hoàng Việt
    • Tin Tức - Sự kiện
  • Liên hệ
  • Trang chủ Singapodent
  • Nghiên Cứu Khoa Học - BS. Hoàng Việt

Nghiên Cứu Khoa Học - BS. Hoàng Việt

Improvements of facial profile and smile aesthetic using temporary anchorage devices and botulinum toxin: a case report

Improvements of facial profile and smile aesthetic using temporary anchorage devices and botulinum toxin: a case report

04/06/2025
Buccal corridor and gummy smile treatment with MARPE and gingivoplasty: A 2-year follow-up case report

Buccal corridor and gummy smile treatment with MARPE and gingivoplasty: A 2-year follow-up case report

04/06/2025
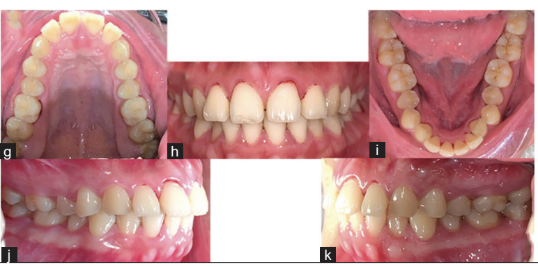
Accelerated and hybrid orthodontic treatment using a combination of 2D lingual appliance and in-house aligner: An anterior cross-bite and TMD case report after 1-year follow-up

Accelerated and hybrid orthodontic treatment using a combination of 2D lingual appliance and in-house aligner: An anterior cross-bite and TMD case report after 1-year follow-up

04/06/2025
ĐIỀU TRỊ CHỈNH NHA TĂNG TỐC VÀ KẾT HỢP SỬ DỤNG NIỀNG RĂNG MẶT LƯỠI VÀ KHAY IN TRỰC TIẾP TẠI PHÒNG KHÁM: BÁO CÁO CA LÂM SÀNG CẮN CHÉO RĂNG TRƯỚC VÀ RỐI LOẠN KHỚP THÁI DƯƠNG HÀM SAU 1 NĂM THEO DÕI

ĐIỀU TRỊ CHỈNH NHA TĂNG TỐC VÀ KẾT HỢP SỬ DỤNG NIỀNG RĂNG MẶT LƯỠI VÀ KHAY IN TRỰC TIẾP TẠI PHÒNG KHÁM: BÁO CÁO CA LÂM SÀNG CẮN CHÉO RĂNG TRƯỚC VÀ RỐI LOẠN KHỚP THÁI DƯƠNG HÀM SAU 1 NĂM THEO DÕI

04/06/2025
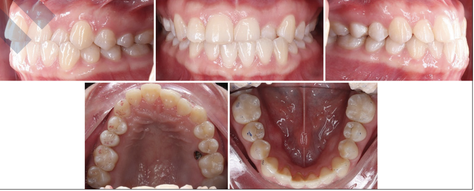
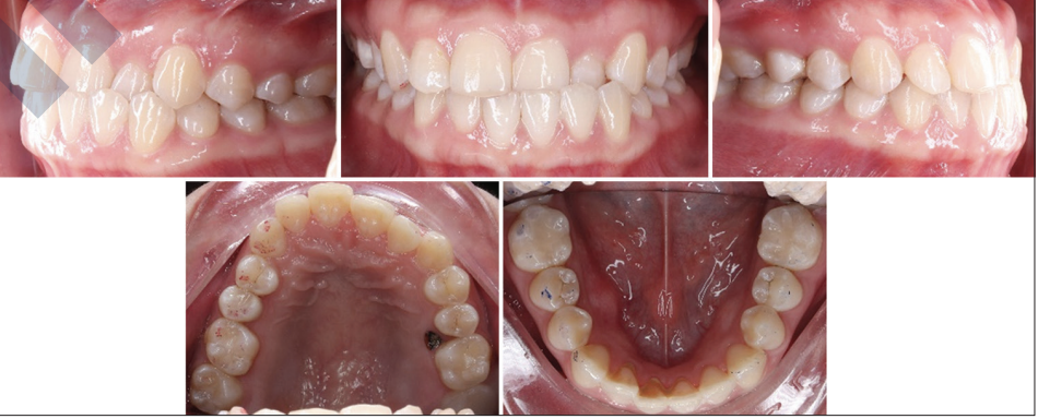
Ứng dụng lâm sàng và kết quả điều trị của MARPE kỹ thuật số trong chỉnh nha: Tổng quan luận điểm

Ứng dụng lâm sàng và kết quả điều trị của MARPE kỹ thuật số trong chỉnh nha: Tổng quan luận điểm

04/06/2025
The clinical applications and outcomes of digital MARPE in orthodontics: A scoping review

The clinical applications and outcomes of digital MARPE in orthodontics: A scoping review

04/06/2025

Danh mục

  • Vật liệu chỉnh nha
    • Dây cung
    • Dụng cụ mài kẽ
    • Mắc cài
    • Hook
    • Kềm chỉnh nha
    • Lò xo - Torque
    • Nút dán - Nút chặn
    • Thun - Chỉ thép
    • Gương - Banh miệng
    • Ốc - Vis
    • Vật liệu gắn mắc cài
    • Vật liệu chỉnh nha khác
  • Vật liệu tổng quát
  • Thiết bị Y tế
  • Thiết bị in 3D
    • Máy in - Mực in
    • Máy rửa - Máy sấy
    • Máng chỉnh nha & Máy ép máng
    • Linh kiện thay thế
  • Thiết bị Laser
    • Máy Laser

Bài viết khác

Đối tác

Brand 1
Brand 2
Brand 3
Brand 4
Brand 5
Brand 6
Brand 7
Brand 8
Brand 9
Brand 10
Brand 11
MATT ORTHODONTICS
Creality

Chính sách

  • Quy định và Thanh toán
  • Bảo hành
  • Vận chuyển

Kênh bán hàng

  • Tìm kiếm
  • Đăng nhập
  • Đăng ký
  • Giỏ hàng

Fanpage

Facebook

Bản đồ

Singapodent

Cửa Hàng Vật Liệu Trang Thiết Bị Y Nha Khoa Singapodent là nhà phân phối và bán lẻ các sản phẩm liên quan đến lĩnh vực Y tế, đặc biệt là lĩnh vực chỉnh nha. Với sứ mệnh trao gửi những giá trị tốt đẹp trong việc hỗ trợ tạo nên những nụ cười hoàn hảo ở mỗi bệnh nhân, chúng tôi cũng hi vọng rằng thông qua quá trình kiểm tra và lắp đặt kỹ lưỡng cho từng loại sản phẩm sẽ góp phần tạo nên sự hài lòng cho tất cả khách hàng đang sử dụng sản phẩm tại công ty.

facebook twitter instagram youtube
payment-1 payment-2 payment-3 payment-4
Bản quyền thuộc về SingapoDent. Cung cấp bởi Sapo
Singapodent Singapodent
Singapodent Singapodent
0902494348
Singapodent Singapodent
SingapodentBạn đã thêm vào giỏ hàng
Singapodent
Giỏ hàng của bạn có sản phẩm
Sản phẩm
Đơn giá
Số lượng
Thành tiền
Giao hàng trên toàn quốc Tiếp tục mua hàng
Thành tiền:
Tiến hành đặt hàng
X
Singapodent
  • Trang chủ
  • Giới thiệu
  • Nhà cung cấp
    • JISCOP
    • RELIANCE
    • CnM MYUNGSUNG
    • DTC
    • TRISTAR
    • STERLING
    • MATT Orthodontics (USA)
    • GRAPHY
    • PHROZEN
    • TAGLUS
    • WBT
  • Sản phẩm
    • Vật liệu chỉnh nha
      • Dây cung
      • Dụng cụ mài kẽ
      • Mắc cài
      • Hook
      • Kềm chỉnh nha
      • Lò xo - Torque
      • Nút dán - Nút chặn
      • Thun - Chỉ thép
      • Gương - Banh miệng
      • Ốc - Vis
      • Vật liệu gắn mắc cài
      • Vật liệu chỉnh nha khác
    • Vật liệu tổng quát
    • Thiết bị Y tế
    • Thiết bị in 3D
      • Máy in - Mực in
      • Máy rửa - Máy sấy
      • Máng chỉnh nha & Máy ép máng
      • Linh kiện thay thế
    • Thiết bị Laser
      • Máy Laser
  • Dịch vụ
    • Sách và Tạp chí chỉnh nha
      • Bản Tiếng Anh
      • Bản dịch Tiếng Việt
      • Cẩm nang CSSK răng miệng
      • Tạp chí chỉnh nha AJODO
      • Sách Tiếng Anh Giao Tiếp Trong Phòng Nha
    • Lab Singapodent
      • Làm khay duy trì sau chỉnh nha
      • Nong rộng xương bằng MARPE
      • Gắn mắc cài gián tiếp
      • Thiết kế & In 3D file răng ngầm từ phim CBCT
    • Webinar chỉnh nha
    • Đào Tạo Chỉnh Nha
      • 2026
      • 2025
  • Khuyến mãi
    • Sản phẩm khuyến mãi
    • Chương trình khuyến mãi
  • Blog Nha Khoa
    • Nghiên Cứu Khoa Học - BS. Hoàng Việt
    • Tin Tức - Sự kiện
  • Liên hệ